Adenozin ile Farmakolojik Stres Testi
Adenozin ile Farmakolojik Stres Testi ASNC (American Society of Nuclear Cardiology) Uygulama Esasları Genel Bakış Bu belgenin amacı, adenozin ile […]
Kardiyak Amiloidoz: Güncel Klinik Zorluklar ve Yeni Tedavilerle Perspektifler
1. Giriş: Protein Yanlış Katlanması, Amiloid Oluşumu ve İnsan Hastalığı Amiloidoz, proteinlerin yanlış katlanması ve amiloid fibrilleri olarak adlandırılan çözünmeyen […]
Adıyaman Eğitim ve Araştırma Hastanesi’nde PET-CT Cihazı Hizmete Alındı
ADIYAMAN – Adıyaman Eğitim ve Araştırma Hastanesi bünyesinde kurulan Onkoloji Tanı ve Tedavi Merkezi’nde, kanser hastalarının tanı, evreleme ve tedaviye […]
Türkiye Nükleer Tıp Derneği, “Nükleus – Yeni Nesil Nükleer Tıpçılar Topluluğu”nu Kurdu
Nükleer Tıp alanında heyecan verici bir adım! Türkiye Nükleer Tıp Derneği (TNTD), genç ve dinamik Nükleer Tıp hekimlerinin akademik yolculuklarını […]
Samsun Üniversitesi Eğitim Araştırma Hastanesi Nükleer Tıp Kliniği, Kanser Tanısında Önemli Bir Yeri Olan Ga68-PSMA ve DOTA Görüntüleme Hizmetine Başladı
Basın Duyurusu SAMSUN – – Samsun Üniversitesi Samsun Eğitim Araştırma Hastanesi Nükleer Tıp Kliniği, prostat kanseri ve nöroendokrin tümörlerin tanı […]
Hatay’da Nükleer Tıp Ünitesi Yeniden Hizmete Başladı
6 Şubat depremlerinin ardından hizmetine ara vermek zorunda kalan Hatay Eğitim ve Araştırma Hastanesi Nükleer Tıp Ünitesi, 26 ay 15 […]
Bu Yılın Nükleer Tıp Ödülleri Sahiplerini Buldu!
TNTD 37. Ulusal Nükleer Tıp Kongresi Ödülleri Sahiplerini Buldu! Türkiye Nükleer Tıp Derneği’nin 50. yılında düzenlenen 37. Ulusal Nükleer Tıp […]
37. Ulusal Nükleer Tıp Kongresi Geleceğe Yön Verdi: TNTD’nin Yeni Yönetimi Seçildi, Yapay Zeka ve Alfa Tedavileri Öne Çıktı
Türkiye Nükleer Tıp Derneği (TNTD) tarafından düzenlenen ve alanında ülkenin en önemli bilimsel buluşması olan 37. Ulusal Nükleer Tıp Kongresi (UNTK […]
Duyuru ›
TÜRKİYE NÜKLEER TIP DERNEĞİ YENİ YÖNETİM KURULU BELİRLENDİ
Türkiye Nükleer Tıp Derneği’nin 50. yılını kutladığı 37. Ulusal Nükleer Tıp Kongresi, 9–13 Nisan 2025 tarihleri arasında Antalya’da başarıyla gerçekleştirildi. […]
Nükleer Tıp Doktor Öğretim Üyesi İlanı
İnönü Üniversitesi ve Giresun Üniversitesi Rektörlükleri Nükleer Tıp için 1’er Doktor Öğretim Üyesi kadrosu ilan etmiştir, kadro detayları aşağıdadır. İnönü […]
Onkolojik Malignitelerde PET’in Klinik Önemi ve Multidisipliner Yaklaşım
Onkolojik Malignitelerde PET’in Klinik Önemi ve Multidisipliner Yaklaşım konulu bilimsel etkinlik 7 Aralık 2019’da İzmir Dokuz Eylül Üniversitesi Tıp Fakültesi’nde […]
HCC Tanı ve Tedavisinde Multidisipliner Yaklaşım
Karaciğerin en sık primer kanseri olan hepatosellüler kanser tanı ve tedavisinde multidisipliner yaklaşım ve transarteriyel radyoembolizasyon (TARE) tedavisinin ele alınacağı […]
Haber ›
Adıyaman Eğitim ve Araştırma Hastanesi’nde PET-CT Cihazı Hizmete Alındı
ADIYAMAN – Adıyaman Eğitim ve Araştırma Hastanesi bünyesinde kurulan Onkoloji Tanı ve Tedavi Merkezi’nde, kanser hastalarının tanı, evreleme ve tedaviye […]
Türkiye Nükleer Tıp Derneği, “Nükleus – Yeni Nesil Nükleer Tıpçılar Topluluğu”nu Kurdu
Nükleer Tıp alanında heyecan verici bir adım! Türkiye Nükleer Tıp Derneği (TNTD), genç ve dinamik Nükleer Tıp hekimlerinin akademik yolculuklarını […]
Samsun Üniversitesi Eğitim Araştırma Hastanesi Nükleer Tıp Kliniği, Kanser Tanısında Önemli Bir Yeri Olan Ga68-PSMA ve DOTA Görüntüleme Hizmetine Başladı
Basın Duyurusu SAMSUN – – Samsun Üniversitesi Samsun Eğitim Araştırma Hastanesi Nükleer Tıp Kliniği, prostat kanseri ve nöroendokrin tümörlerin tanı […]
Hatay’da Nükleer Tıp Ünitesi Yeniden Hizmete Başladı
6 Şubat depremlerinin ardından hizmetine ara vermek zorunda kalan Hatay Eğitim ve Araştırma Hastanesi Nükleer Tıp Ünitesi, 26 ay 15 […]
Bilimsel Yayınlar ›
Bu Yılın Nükleer Tıp Ödülleri Sahiplerini Buldu!
TNTD 37. Ulusal Nükleer Tıp Kongresi Ödülleri Sahiplerini Buldu! Türkiye Nükleer Tıp Derneği’nin 50. yılında düzenlenen 37. Ulusal Nükleer Tıp […]
Ga-68 DOTATATE PET/CT Görüntülemede Normal Varyantlar, Tuzaklar ve Artefaktlar
Özet Bu makale, nöroendokrin tümörlerin (NET) görüntülemesinde kullanılan Ga-68 DOTATATE PET/CT’nin normal varyantlarını, tuzaklarını ve artefaktlarını incelemektedir. Ga-68 DOTATATE, hücre […]
Koroner Arter Bypass Greftleme (CABG) Sonrası Miyokard Perfüzyon Değerlendirmesi: Güncel Yaklaşımlar ve Klinik Önemi – 2025
Koroner arter hastalığı (KAH), dünya genelinde önde gelen ölüm nedenlerinden biri olup, ileri evrede cerrahi tedavi gerektirebilir. Koroner Arter Bypass […]
Emziren Annelerde Nükleer Tıp ile Radyolojik Görüntüleme Yöntemleri ve Öneriler
Bu yazıda, emziren annelerin görüntüleme prosedürleriyle ilgili öneriler ve güvenlik önlemleri hakkında bilgi verilmektedir. Öneriler ve Bilgiler: Kontrastsız Radyografik Görüntüleme: […]
Sağlık ›
Nükleer Tıp Nedir? Video
Nükleer Tıp ve Tarihçesi En basit tanımıyla nükleer tıp hastalıkların tanı ve tedavisinde radyoaktif maddelerin kullanımıdır. Halen ülkemizde üniversitelerde, büyük […]
Karaciğer Tümörü Tedavisinde Bir İlk
Pamukkale Üniversitesi (PAÜ) Hastanesi’nde hekimlere ve diğer sağlık çalışanlarına yapılan seminerin ardından iki hastaya karaciğer tümörlerinde uygulanan Transarteryel Radyoembolizasyon (TARE) […]
Türkiye Nükleer Tıp Tedavilerinde Birçok Avrupa Ülkesinden Önde
Hacettepe Üniversitesi Tıp Fakültesi Medikal Onkoloji Anabilim Dalı Öğretim Üyesi Prof. Dr. Şuayib Yalçın, özellikle nöroendokrin tümörler konusunda Türkiye’nin bütün […]
Türkiye’de en çok rastladığımız kanser türü, kadınlarda meme kanserleri, erkeklerde de prostat ve akciğer kanserleri
Stres ve moral bozukluğu kanserin büyümesini tetikliyor! İÜ Cerrahpaşa Tıp Fakültesi Nükleer Tıp Ana Bilim Dalı Başkanı Prof. Dr. Kerim […]
Video ›
33. Ulusal Nükleer Tıp Kongresi (2021) Seminerleri
33. UNTK kapsamındaki seminerler Tekniker Kursu Bilal Kovan, Yasemin Parlak 33. UNTK PET/MR Kursu (Pediatrik Uygulamalar) Lebriz Uslu Beşli, L. Özlem Atay 33. UNTK Pediatrik Nükleer Tıp […]
Video – PET/CT Nedir ve Nasıl Uygulanır?
Dr. Nesrin Aslan – PET/CT Nedir ve Nasıl Uygulanır? PET/CT işlemi için hastadan en az 6 saat açlık gerekmektedir. İlk […]
Etkinlik-Kongre ›
37. Ulusal Nükleer Tıp Kongresi Geleceğe Yön Verdi: TNTD’nin Yeni Yönetimi Seçildi, Yapay Zeka ve Alfa Tedavileri Öne Çıktı
Türkiye Nükleer Tıp Derneği (TNTD) tarafından düzenlenen ve alanında ülkenin en önemli bilimsel buluşması olan 37. Ulusal Nükleer Tıp Kongresi (UNTK […]
37. Ulusal Nükleer Tıp Kongresi Antalya’da Düzenlendi
DoktorlarSitesi – Türkiye Nükleer Tıp Derneği (TNTD) tarafından bu yıl 50. kuruluş yılı dolayısıyla düzenlenen 37. Ulusal Nükleer Tıp Kongresi, 9-13 Nisan […]
İstanbul Tıp Fakültesi Nükleer Tıp Ekibi Avrupa’da Göz Doldurdu!
İstanbul Üniversitesi İstanbul Tıp Fakültesi Nükleer Tıp Anabilim Dalı, Avrupa Nükleer Tıp Kongresi (EANM2024) kapsamında, bu yıl Almanya’nın Hamburg şehrinde […]
Nükleer Tıp Sempozyumu: Girişimsel Nükleer Tıp • 28-29 Ekim 2022
Değerli Meslektaşlarımız ve Endüstri Temsilcileri,Her yıl güz döneminde gerçekleştirdiğimiz Nükleer Tıp Sempozyumumuzu, 3 yıllık bir aradan sonra yine yüz yüze […]
Nükleer Tıp ›
TÜRKİYE NÜKLEER TIP DERNEĞİ YENİ YÖNETİM KURULU BELİRLENDİ
Türkiye Nükleer Tıp Derneği’nin 50. yılını kutladığı 37. Ulusal Nükleer Tıp Kongresi, 9–13 Nisan 2025 tarihleri arasında Antalya’da başarıyla gerçekleştirildi. […]
Gazi Üniversitesi Nükleer Tıp Anabilim Dalı Avrupa’daki 7 Merkezden Biri Oldu
Gazi Üniversitesi Tıp Fakültesi Nükleer Tıp Anabilim Dalı, European Union of Medical Specialists Section and Board of Nuclear Medicine (UEMS/EBNM) […]
COVID-19 Pandemisi Sürecinde Nükleer Tıp Uygulamaları İçin Kılavuz
2019’un sonlarında, Wuhan, Çin’de viral pnömoni ile başvuran bir grup hastadan yeni birkoronavirüs izole edildi. Artan küresel nüfus hareketi ile, […]
Türkiye Nükleer Tıp’ta Çığır Açıyor: Yerli radyoaktif ilaç üretimi başladı
Ankara Tıp Fakültesi Cebeci Hastanesi Nükleer Tıp Merkezinde yerli radyoaktif ilaç üretiliyor. Türkiye’de tek olma özelliği taşıyan merkezde teşhisi konulamayan kanser, kalp hastalıkları, nörolojik sorunlar gibi birçok hastalığa hücresel boyutta inceleme yapılıyor. Araştırma ve yeni ilaçların üretiminde tek olan merkez, komşu ülkeler içinde de referans merkezi olarak hücresel boyutta görüntüleme sağlayıp erken tanı ve tedavide yol gösterici olmayı hedefliyor.
PET/CT ›
Malign plevral mezotelyomanın FDG-PET ile değerlendirilmesi: TLV ve TLG’nin rolü
Cancer Survival is related to tumor volume. FDG PET measurement of tumor volume holds promise but is not yet a […]
McCune-Albright Sendromu’nda displastik kemik lezyonlarının PET ile Görüntülenmesi
McCune-Albright syndrome (MAS) is a mosaic disorder arising from gain-of-function mutations in the GNAS gene, which encodes the 3′, 5′-cyclic […]
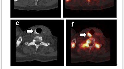
Prostat Adenokarsinom Vakasında 68Ga-PSMA PET/BT ile Tespit Edilen Nadir Bir Krikoid ve Tiroid Kıkırdak Metastazı Olgusu
Prostat kanseri vücudun herhangi bir yerine metastaz yapabilmesine rağmen, laringeal kıkırdak metastazı oldukça nadirdir ve az sayıda vakaşimdiye kadar yayınlanmıştır. […]
Kanser Teşhisinde büyük önem taşıyan Pozitron Emisyon Tomografisi Radyoizotopları Yaklaşık 20 Kat daha az maliyetle Türkiye’de Üretilecek!
İki Türk fizikçi Dr. Öğr. Üyesi Alper Hayreter ve Dr. Öğr. Üyesi Bora Işıldak tarafından 2017 yılından bu yana gerçekleştirilen çalışmalar 6 ay içinde […]
PET/MR ›
Türkiye’de en çok rastladığımız kanser türü, kadınlarda meme kanserleri, erkeklerde de prostat ve akciğer kanserleri
Stres ve moral bozukluğu kanserin büyümesini tetikliyor! İÜ Cerrahpaşa Tıp Fakültesi Nükleer Tıp Ana Bilim Dalı Başkanı Prof. Dr. Kerim […]
Türkiye’nin üçüncü PET/MR Cihazı da Kuruldu
Ülkemizdeki 2 PET/MR cihazının İstanbul ve Ankara’da olduğunu belirterek, üçüncü cihazın ise İstanbul Cerrahpaşa Tıp Fakültesine kurulduğunu aktardı.
Nükleer Tıp’taki son teknoloji ile tanı ve tedavide büyük ilerlemeler yaşandı
Gazi Üniversitesi Tıp Fakültesi Nükleer Tıp Anabilim Dalı Başkanı Prof. Dr. Lütfiye Özlem Atay, "görüntülemenin en son varabileceği teknoloji" olarak adlandırdıkları yöntemler sayesinde gerek kanser gerekse demans ve alzheimer gibi nörolojik hastalıkların tanı ve tedavisinde büyük ilerlemeler yaşandığını belirterek bunların özellikle beyin gibi organların daha iyi değerlendirilmesini sağladığını bildirdi.
Radyonüklid Tedavi ›

Kanser Tanısında Hayati Öneme Sahip Cihaz “PET-BT”
Kanser tanısında hayati öneme sahip PET-BT cihazı ile tedavide yüksek başarı oranı elde ediliyor.
PET-BT ile kanser metastazları tespitinde kesin tanı
Başta akciğer, lenf bezi olmak üzere çeşitli kanser türlerinde tanı ve metastaz aşamasında, son teknolojik cihaz PET-BT ile yüzde 95 oranında başarı elde edildiği belirtildi.
Nükleer Tıp’taki son teknoloji ile tanı ve tedavide büyük ilerlemeler yaşandı
Gazi Üniversitesi Tıp Fakültesi Nükleer Tıp Anabilim Dalı Başkanı Prof. Dr. Lütfiye Özlem Atay, "görüntülemenin en son varabileceği teknoloji" olarak adlandırdıkları yöntemler sayesinde gerek kanser gerekse demans ve alzheimer gibi nörolojik hastalıkların tanı ve tedavisinde büyük ilerlemeler yaşandığını belirterek bunların özellikle beyin gibi organların daha iyi değerlendirilmesini sağladığını bildirdi.
Video – PET/CT Nedir ve Nasıl Uygulanır?
Dr. Nesrin Aslan – PET/CT Nedir ve Nasıl Uygulanır? PET/CT işlemi için hastadan en az 6 saat açlık gerekmektedir. İlk […]
Türkiye Nükleer Tıp’ta Çığır Açıyor: Yerli radyoaktif ilaç üretimi başladı
Ankara Tıp Fakültesi Cebeci Hastanesi Nükleer Tıp Merkezinde yerli radyoaktif ilaç üretiliyor. Türkiye’de tek olma özelliği taşıyan merkezde teşhisi konulamayan kanser, kalp hastalıkları, nörolojik sorunlar gibi birçok hastalığa hücresel boyutta inceleme yapılıyor. Araştırma ve yeni ilaçların üretiminde tek olan merkez, komşu ülkeler içinde de referans merkezi olarak hücresel boyutta görüntüleme sağlayıp erken tanı ve tedavide yol gösterici olmayı hedefliyor.
Türkiye’nin üçüncü PET/MR Cihazı da Kuruldu
Ülkemizdeki 2 PET/MR cihazının İstanbul ve Ankara’da olduğunu belirterek, üçüncü cihazın ise İstanbul Cerrahpaşa Tıp Fakültesine kurulduğunu aktardı.
2019 Avrupa Nükleer Tıp Kongresi (EANM’19) Canlı Yayın
EANM Live schedule Bu yıl 32.’si düzenlenecek olan 2019 Avrupa Nükleer Tıp Kongresi 12-16 Ekim 2019 tarihlerinde İspanya’nın Barselona kentinde […]
PET/BT primeri bilinmeyen kanserlerin araştırılmasında önemli bir tetkik
Elazığ Eğitim ve Araştırma Hastanesi ve Eskişehir Osmangazi Üniversitesi Tıp Fakültesi Nükleer Tıp Kliniklerinin ortaklaşa yaptığı bir çalışma PET-BT’nin primeri […]
Türkiye’de en çok rastladığımız kanser türü, kadınlarda meme kanserleri, erkeklerde de prostat ve akciğer kanserleri
Stres ve moral bozukluğu kanserin büyümesini tetikliyor! İÜ Cerrahpaşa Tıp Fakültesi Nükleer Tıp Ana Bilim Dalı Başkanı Prof. Dr. Kerim […]